引起牙痛有什么原因?

生活中有很多的朋友出现牙痛的现象,给很多的朋友带来很大的困扰,引起牙痛...【详细】
根管治疗的优势和适应症

牙髓发生感染,会造成疼痛、颌骨感染,最终牙齿因为牙神经的死亡而变得脆弱...【详细】
根管治疗有什么优点?

根管治疗是针对牙齿、牙髓、根尖病变的一个治疗过程。其主要目的是停止炎症...【详细】
广州做根管治疗费用大概是多少?

当有牙髓炎或是深龋齿的时候,为了保留牙齿本身,做根管治疗是很有必要的,...【详细】
什么是根管治疗?

根管治疗(root canal therapy)是牙髓病和根尖周病的国际上非常常用的有效治疗方法...【详细】
根管治疗需要注意哪些事项?

根管治疗(root canal therapy)是牙髓病和根尖周病在国际上非常常用的有效治疗方法...【详细】
牙齿症状能反映身体健康吗?

牙齿和身体密切相关,紧密相连,牙齿的健康和身体健康互相影响,那么牙齿症...【详细】
2015海外华人文化社团中华才艺(书画)培训班开

11月20日,由国务院侨务办公室主办、暨南大学承办的2015海外华人文化社团中华...【详细】
第四十二届田径运动会圆满举行

11月19日-21日,暨南大学第四十二届田径运动会在旭日运动场隆重举行。暨大胡...【详细】
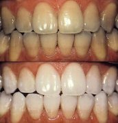
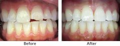
即刻种植牙效果怎么样?

即刻种植牙是指拔牙后同期植入种植体,即在新鲜的拔牙创内立即植入种植体,...【详细】
版权:广州穗华口腔医院
备案号:粤ICP备15046903号
医疗广告审查证明文号:粤(A)广(2025)第1188号