热点聚焦!400人名医大讲堂引爆全民种牙潮

2015年11月22日上午8点30分,广州日报名医大讲堂联合暨南大学穗华口腔医院举办...【详细】
“一带一路”华商管理论坛发表“暨南共识”

广东地处一带一路路端,有着数量巨大的海外华侨,在国家一带一路战略中有积...【详细】
“一带一路”中医传承与创新暨肿瘤多药耐药治

11月6-8日,由暨南大学主办、附属第一医院主承办的一带一路中医传承与创新...【详细】
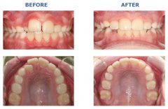
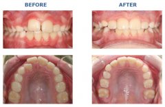
地包天矫正要拔牙吗?

地包天是临床上常见的牙齿畸形,大多数的患者表现为牙齿前突,形成一个弯弓...【详细】
地包天矫正要多少费用?

地包天矫正的费用,就像是得了一场感冒一样,一样有重轻之分,中西医疗法之...【详细】
矫正地包天会痛吗?

很多人在咨询时都有这样的担忧,矫正地包天会痛吗?随着人们生活水平和审美...【详细】
广州矫正地包天需要多少钱?

地包天给人们的生活带来了不少影响,对人的自信心造成了非常大的损害。那么...【详细】
快速矫正地包天多少钱?

地包天固然是件可恨的事情,然而,现代生活忙碌,有什么快速矫正地包天的办...【详细】
地包天矫正要花费多长时间?

地包天是一种较为常见的牙齿畸形现象,对儿童而言,严重影响孩子的生长发育...【详细】
成人地包天矫正有什么方法?

成人地包天不仅对个人的说话与进食造成影响,对个人的自信心也会有所损伤。...【详细】
版权:广州穗华口腔医院
备案号:粤ICP备15046903号
医疗广告审查证明文号:粤(A)广(2024)第255号