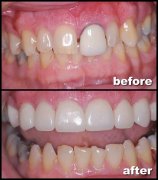
Beyond冷光美白技术完美解决色素牙

色素牙是因饮食、烟茶咖啡等附着于牙齿表面,黄或黑色,有的也是由于小时候...【详细】
牙齿上的烟渍怎么去除?

烟渍牙是一种牙齿色素沉淀的问题,是长期抽烟所导致的烟渍沉淀,牙齿上的烟...【详细】
抽烟黄牙如何变白?

现代都市抽烟是常见不过的了,很多男士有些女士都有抽烟的习惯,造成牙齿发...【详细】
黄牙美白需要多少钱?

黄牙非常影响外形美观,有了黄牙都想去美白,自然而然都会考虑到费用方面的...【详细】
美白咖啡牙需要多少费用?

喝咖啡已经成为现代都市的一种品质生活,在繁忙的工作、交际之余听一首轻音...【详细】
85届校友“相约三十年”,重叙“暨情”又话“暨

11月16日,暨南大学迎来了109岁生日。15日上午,来自海内外的数百名85届校友携...【详细】
全球53地暨南校友会会长、秘书长回母校参加首届

11月15日,由暨南大学校友总会主办,广州校友会承办的暨大首届全球校友会会...【详细】
一个烤瓷牙需要多少钱?

暨南大学穗华口腔专家指出,对于贵金属烤瓷牙费用来说,因为其材料是采用金...【详细】
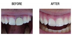
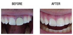
超薄瓷贴面完美修复牙齿缺损

有一口健康美白的牙齿让人非常羡慕,笑容更加灿烂迷人。那么有的人牙齿出现...【详细】
色素牙有什么危害?

暨南大学穗华口腔专家介绍,色素牙是人们常见的一种牙病,其实色素牙的产生...【详细】
版权:广州穗华口腔医院
备案号:粤ICP备15046903号
医疗广告审查证明文号:粤(A)广(2024)第255号