2015海外华人文化社团中华才艺(书画)培训班开

11月20日,由国务院侨务办公室主办、暨南大学承办的2015海外华人文化社团中华...【详细】
第四十二届田径运动会圆满举行

11月19日-21日,暨南大学第四十二届田径运动会在旭日运动场隆重举行。暨大胡...【详细】
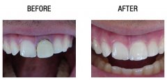
即刻种植牙效果怎么样?

即刻种植牙是指拔牙后同期植入种植体,即在新鲜的拔牙创内立即植入种植体,...【详细】
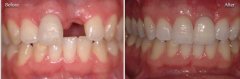
种植牙有什么优点?

种植牙是现在牙齿非常好的修复技术之一,主要材料是种植体和牙冠两个部分组...【详细】
种植牙怎样保证效果?

牙齿缺失影响人的正常生活,吃东西憋屈不说,还破坏口腔健康,进而影响全身...【详细】
3D导航模拟种植牙有什么好处?

人类拥有两副牙齿:乳牙与恒牙,而牙医为我们带来了第三副牙齿─人工种植牙...【详细】
影响种植牙效果有哪些因素?

牙齿在人类身体结构当中占据着非常重要的位置,它除了发挥食物消化的第一道...【详细】
即刻种植修复技术效果怎么样?

种植牙按照植入时机分为延期种植牙和即刻种植牙,目前临床较普遍应用的是延...【详细】
种一颗大概需要多少钱?

当我们的牙齿缺失之后,会严重的影响到一个人的美观的问题,单颗牙齿缺失,...【详细】
ALL-ON-4种植修复技术效果怎么样?

种植牙并不是真的种上一棵或几棵与天然牙一样的牙齿,而是以种植材料埋植到...【详细】
版权:广州穗华口腔医院
备案号:粤ICP备15046903号
医疗广告审查证明文号:粤(A)广(2024)第255号