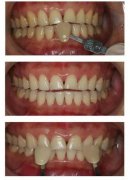
烟渍去除后怎么护理牙齿?

暨南大学穗华口腔专家指出,解决烟渍牙的好方式就是做Beyond冷光美白技术。牙...【详细】
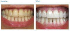
抽烟黄牙如何美白?

对于爱美人士来说,黄牙对外形的影响是十分重大的,谁不想拥有一口晶莹透亮...【详细】
黄牙美白的费用是多少?

黄牙患者想要去美白牙齿时,都会考虑到费用方面的信息。做一次黄牙美白的费...【详细】
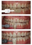
咖啡牙美白需要多少钱?

现代都市生活都讲究一个快字,一系列便捷的快餐方式完全应运了西方文化的发...【详细】
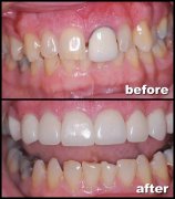
茶渍牙美白的费用是多少?

牙齿洁白是每一个爱美的人都想要的,谁也不想一张嘴就是一口黄牙、黑牙。目...【详细】
牙体修复需要多长时间?

牙齿缺损在日常生活中时有发生,大多是由于外伤、口腔疾病等原因导致。牙齿...【详细】
怎么挑选合适的种植牙系统?

当一个人感到吃得下,玩得动,睡得好,没牵挂,很满足的时候,幸福就在其中...【详细】
什么因素影响种植牙的成败?

我们每个人都希望自己能有一个璀璨人生,我们都希望自己的生活就算不能十全...【详细】
热点聚焦!400人名医大讲堂引爆全民种牙潮

2015年11月22日上午8点30分,广州日报名医大讲堂联合暨南大学穗华口腔医院举办...【详细】
“一带一路”华商管理论坛发表“暨南共识”

广东地处一带一路路端,有着数量巨大的海外华侨,在国家一带一路战略中有积...【详细】
版权:广州穗华口腔医院
备案号:粤ICP备15046903号
医疗广告审查证明文号:粤(A)广(2025)第1188号